ตรวจค่าไต BUN, Creatinine, eGFR คืออะไร? ผลตรวจบอกอะไรได้บ้าง?
ใครบ้างที่ควรตรวจเบาหวาน ตรวจก่อน รู้ก่อน รักษาก่อน!
ตรวจสุขภาพหญิง เพื่อการส่งเสริมสุขภาพที่ดีอย่างยั่งยืน
แนะนำการตรวจมะเร็งต่อมลูกหมาก (PSA) พร้อมวิธีสังเกตอาการเบื้องต้น
โปรแกรมตรวจสุขภาพหลังเป็นโควิด-19 ตรวจเช็คภาวะ Long COVID
สัญญาณเตือนก่อนตรวจไทรอยด์ มีอะไรบ้าง? เช็กก่อน รักษาก่อน!
ทำไมต้องตรวจสุขภาพประจำปี อายุเท่าไหร่ควรตรวจอะไรบ้าง?
ตรวจ dna เพื่ออะไร การตรวจดีเอ็นเอ สามารถบอกอะไรเราได้บ้าง
ตรวจสุขภาพชาย โปรแกรมตรวจสุขภาพผู้ชายขั้นพื้นฐานในแต่ละวัย
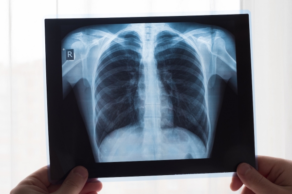
การตรวจเอกซเรย์ปอด มีขั้นตอนอย่างไร บอกอะไรได้บ้าง